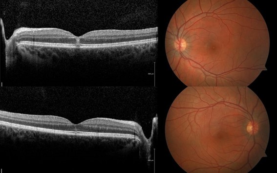
A Retinopatia Solar acontece quando uma pessoa olha diretamente para o sol ou para um eclipse solar sem proteção adequada. Esse ato provoca uma queimadura na retina, que é a camada mais interna e sensível do olho.
Esse dano ocorre por um processo fotoquímico que atinge especialmente a mácula, a região central responsável pela visão mais nítida. Como resultado, o paciente percebe uma mancha escura no centro da visão e pode notar que as imagens ficam distorcidas.
Embora esses sintomas possam melhorar com o tempo, esse processo pode durar seis meses ou mais, e, em alguns casos, a perda visual pode ser permanente.
Atualmente, não existe tratamento específico para a retinopatia solar, então a melhor estratégia é prevenir e conscientizar as pessoas sobre os riscos.
Como Observar um Eclipse Solar com Segurança?
Durante um eclipse solar, há duas formas seguras para assistir ao fenômeno:
- Indiretamente, por meio da projeção da imagem do sol em uma superfície.
- Diretamente, usando equipamentos adequados, como óculos de soldador com classificação 14 ou superior — esses podem ser encontrados em lojas de materiais de construção.
Vale lembrar que óculos de sol comuns, filmes de radiografia, vidro fumê, câmeras, telescópios sem filtro adequado e celulares não protegem os olhos, e seu uso para olhar diretamente para o sol pode causar danos graves.




